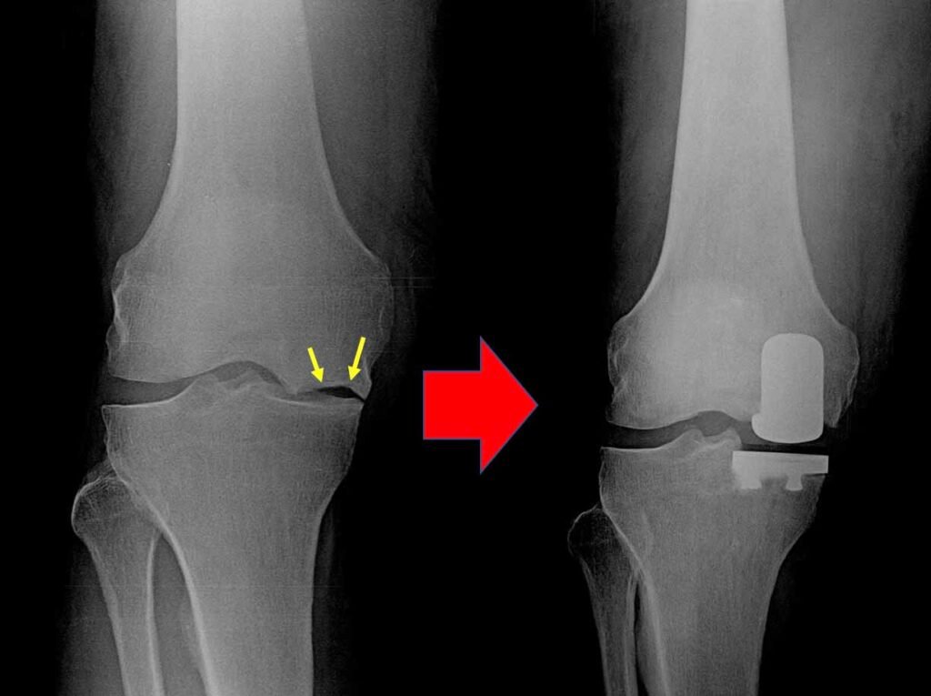
Knee Surgery GET IN TOUCH Knee Arthritis Meniscal Tears ACL Tears Knee Instability The Painful Or Failing Knee Replacement Radio Frequency Ablation Learn MOre Knee Arthroscopy Learn MOre ACL Reconstruction Learn MOre Partial Knee Replacement Learn MOre Total Knee Replacement Learn MOre PSI | KA | TOTAL KEE REPLACEMENT Learn MOre ROBOTIC-ASSISTED TKA Learn MOre REVISION KNEE REPLACEMENT Learn MOre KNEE CONDITIONS Learn MOre OUR SERVICES If joint pain or injury is affecting your daily life, Dr Paterson is here to support your recovery with individualised, evidence-based care. Radio Frequency Abolation (Knee) Learn MOre Knee Arthroscopy Learn MOre Anterior Cruciate Ligament (ACL) Reconstruction Learn MOre Partial Knee Replacement Learn MOre Total Knee Replacement Main Menu LEARN MORE Total Knee Replacement Surgery PATIENT SPECIFIC, KINEMATICALLY ALIGNED TOTAL KNEE REPLACEMENT ROBOTIC-ASSISTED TOTAL KNEE REPLACEMENT REVISION KNEE REPLACEMENT SURGERY LEARN MORE TOTAL KNEE REPLACEMENT PATIENT SPECIFIC (PSI), KINEMATICALLY ALIGNED TOTAL KNEE REPLACEMENT ROBOTIC-ASSISTED TOTAL KNEE REPLACEMENT REVISION KNEE REPLACEMENT SURGERY