TOTAL KNEE REPLACEMENT

A surgical approach to relieve pain, restore movement, and help you return to the life you enjoy

TOTAL KNEE REPLACEMENT

If you’re living with persistent knee pain, stiffness, or reduced mobility due to advanced joint damage, a total knee replacement may be an appropriate next step. Total knee replacement surgery involves removing the damaged surfaces of the joint and replacing them with carefully designed metal and plastic components that restore alignment and function. The goal is to reduce pain, improve knee stability, and help you return to the activities that matter most to you.

Dr Darren Paterson takes a personalised approach to every knee replacement. By combining advanced surgical techniques with modern technologies including 3D anatomical mapping, patient-specific instrumentation (PSI), robotic-assisted systems, and the kinematic alignment method, your surgery can be tailored to your individual anatomy. This may support more natural joint movement and a smoother recovery.

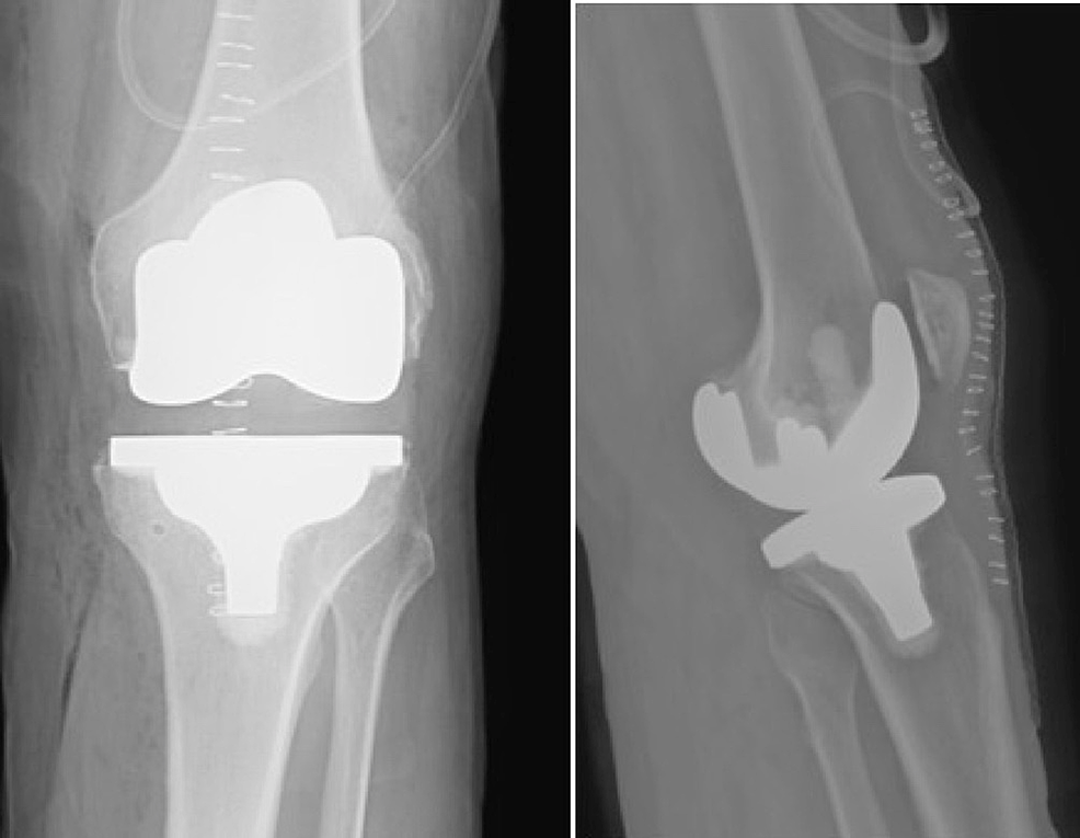
total knee replacement xray

What are the benefits of total knee replacement surgery?

Knee replacement surgery is performed to remove damaged joint surfaces and replace them with prosthetic components, which may help reduce pain, improve mobility, and restore knee function. While outcomes vary from person to person, many patients experience meaningful improvements in day-to-day comfort and movement. Some of the potential benefits include:

Pain relief
Ongoing knee pain from arthritis or injury is one of the most common reasons people consider surgery. Knee replacement may help reduce or relieve pain that has not responded to non-surgical treatments.

Improved mobility
By replacing the worn surfaces of the joint, knee replacement can allow smoother movement. This may make it easier to walk, go up and down stairs, and carry out everyday tasks that previously caused discomfort.

Better quality of life
With less pain and greater mobility, many people find they can return to activities they had previously stopped or avoided—whether that’s gardening, shopping, or spending more time with family.

Long-term joint function
Modern implants are made from strong, durable materials and, when combined with appropriate rehabilitation, may support many years of improved knee function.

Correction of alignment or deformity
In some cases, knee arthritis causes the joint to become bowed or misaligned. Knee replacement may help restore a more natural alignment and balance to the knee, improving both stability and appearance.

Recovery is a gradual process that involves physiotherapy, follow-up care, and a commitment to your rehabilitation program. During your consultation, Dr Paterson will discuss whether knee replacement is the right option for you and explain what you can expect based on your specific condition and goals.

Which surgical techniques are used in total knee replacement?

Choosing to undergo total knee replacement surgery is a significant step toward relieving pain and regaining mobility. Understanding the different surgical techniques available can help you feel more confident and informed as you consider your options:

This well-established approach involves removing the damaged joint surfaces and replacing them with prosthetic components. It is most commonly recommended for patients with advanced arthritis or significant joint damage. Traditional knee replacement has a strong track record of reducing pain and restoring function.

Minimally invasive techniques aim to reduce soft tissue disruption and support a faster recovery compared to traditional approaches. One such technique is the subvastus approach, where the surgeon accesses the knee joint by carefully moving the vastus medialis muscle aside rather than cutting through it. This may help preserve muscle strength, reduce post-operative pain, and promote a quicker return of movement.

Dr Paterson may use this approach where suitable, based on your anatomy, muscle structure, and surgical goals.

Advanced technology

Modern surgical technologies are helping to improve the accuracy, personalisation, and recovery of knee replacement procedures. Dr Paterson uses several advanced techniques to support long-term outcomes and enhance your surgical experience:

Dr Paterson uses robotic and computer-guided technologies during surgery to improve precision. These systems provide real-time feedback, helping to ensure your knee implant is positioned accurately. This may enhance joint alignment, improve implant longevity, and reduce the risk of early wear or revision surgery.

Using 3D imaging from your MRI or CT scan, Dr Paterson creates customised surgical guides tailored to your individual anatomy. These patient-specific instruments (also known as PSI or MyKnee) allow for precise positioning of the implant and are designed to help restore your natural joint alignment. This technology supports more accurate cuts and may lead to improved surgical outcomes and a smoother recovery.

Alignment techniques

The way your new knee joint is aligned during surgery plays a key role in how it feels and functions after your recovery. Dr Paterson uses two main alignment techniques, selected based on your unique anatomy and individual needs:

Mechanical alignment is a traditional method where the implant is positioned in a straight line from your hip to your ankle. This technique aims to evenly distribute weight across the knee joint, helping to protect the implant from early wear and improving long-term stability.

Kinematic alignment is a more personalised method that aims to restore your knee to its natural, pre-arthritic alignment. Instead of forcing a “one-size-fits-all” position, kinematic alignment focuses on matching the implant to your knee’s original anatomy. This approach may result in a more natural-feeling joint, better range of motion, and improved overall comfort.

Dr Paterson will assess your knee and recommend the alignment and surgical method that best supports your long-term outcomes, based on your anatomy, goals, and overall health. His goal is to deliver a stable, comfortable, and long-lasting knee replacement tailored specifically to you.

Which surgical techniques are used in total knee replacement?

Choosing to undergo total knee replacement surgery is a significant step toward relieving pain and regaining mobility. Understanding the different surgical techniques available can help you feel more confident and informed as you consider your options:

Traditional total knee replacement

This well-established approach involves removing the damaged joint surfaces and replacing them with prosthetic components. It is most commonly recommended for patients with advanced arthritis or significant joint damage. Traditional knee replacement has a strong track record of reducing pain and restoring function.

Minimally invasive total knee replacement

Minimally invasive techniques involve smaller incisions and less disruption to muscles and soft tissue surrounding the joint. This approach may lead to less postoperative discomfort, a shorter hospital stay, and a faster return to activity. Dr Paterson may consider this option depending on your anatomy and overall health.

Advanced technology in total knee replacement

Modern surgical technologies are helping to improve the accuracy, personalisation, and recovery of knee replacement procedures. Dr Paterson uses several advanced techniques to support long-term outcomes and enhance your surgical experience:

Computer-assisted and robotic-assisted surgery

Dr Paterson uses robotic and computer-guided technologies during surgery to improve precision. These systems provide real-time feedback, helping to ensure your knee implant is positioned accurately. This may enhance joint alignment, improve implant longevity, and reduce the risk of early wear or revision surgery.

Patient-specific instrumentation (PSI)

Using 3D imaging from your MRI or CT scan, Dr Paterson creates customised surgical guides tailored to your individual anatomy. These patient-specific instruments (also known as PSI or MyKnee) allow for precise positioning of the implant and are designed to help restore your natural joint alignment. This technology supports more accurate cuts and may lead to improved surgical outcomes and a smoother recovery

Alignment techniques in total knee replacement

The way your new knee joint is aligned during surgery plays a key role in how it feels and functions after your recovery. Dr Paterson uses two main alignment techniques, selected based on your unique anatomy and individual needs:

Mechanical alignment is a traditional method where the implant is positioned in a straight line from your hip to your ankle. This technique aims to evenly distribute weight across the knee joint, helping to protect the implant from early wear and improving long-term stability.

Kinematic alignment is a more personalised method that aims to restore your knee to its natural, pre-arthritic alignment. Instead of forcing a “one-size-fits-all” position, kinematic alignment focuses on matching the implant to your knee’s original anatomy. This approach may result in a more natural-feeling joint, better range of motion, and improved overall comfort.

Dr Paterson will assess your knee and recommend the alignment and surgical method that best supports your long-term outcomes, based on your anatomy, goals, and overall health. His goal is to deliver a stable, comfortable, and long-lasting knee replacement tailored specifically to you.

Types of prosthetic implants used in total knee replacement

During a total knee replacement, the damaged surfaces of bone and cartilage in the knee are replaced with prosthetic components designed to work much like a natural joint. These implants are chosen and positioned with care to help restore movement, improve stability, and support day-to-day comfort in line with your individual anatomy and activity needs.

A knee replacement usually includes three main parts:

This metal piece replaces the end of your femur (thigh bone). It is shaped to match the natural curve of your knee and allows for smooth, stable movement. Some femoral components, like the Sphere Knee design, are developed to enhance knee stability and better support everyday activities.

This consists of a metal base and a polyethylene (plastic) insert. It replaces the top of your tibia (shin bone). The plastic insert functions as a new cartilage surface, allowing pain-free movement between the bones.

In some cases, the back of the kneecap (patella) is also resurfaced using a small plastic button. This helps improve the overall function of the joint and reduce friction during movement.

total knee replacement prosthetic components

Materials used in knee implants

The materials used in knee replacements are chosen for their strength, durability, and ability to function well inside the body over the long term:

  • Metal alloys – Used in the femoral and tibial components, these metals (such as cobalt-chromium) are biocompatible and strong enough to support your body weight.
  • Polyethylene (plastic) – The tibial insert and patellar component are made from ultra-high-molecular-weight polyethylene. This type of plastic provides a low-friction surface that helps mimic the smooth motion of a healthy knee joint.

How knee implants are fixed in place

Knee prostheses must be securely attached to your bone to function correctly. There are two main fixation methods:

  • Cemented fixation – A special bone cement is used to anchor the implant to your bone. This approach provides immediate stability and is commonly used in most patients.
  • Cementless fixation – In this method, the implant surface is designed to encourage natural bone growth into the prosthesis. Over time, this can create a secure biological bond. Cementless implants may be recommended for younger patients with good bone quality.

Types of knee implant designs

Dr Paterson will recommend the most suitable implant based on your anatomy, activity level, and lifestyle goals:

  • Fixed-bearing implants – These have a secure connection between the plastic insert and tibial baseplate. They are reliable, durable, and suitable for many patients, especially those with lower activity demands.
  • Mobile-bearing implants – These allow the plastic insert to move slightly within the tibial component. This design can better mimic natural knee motion and may reduce implant wear over time, making it a good option for active patients.

What to expect during recovery from total knee replacement

Recovery is a vital part of your journey following total knee replacement surgery. While the procedure is a significant step toward reducing pain and improving your ability to move, it’s the recovery process including rehabilitation and ongoing care that helps you achieve long-term results.

Once your surgery is complete, you’ll be monitored in a recovery area while the effects of anaesthesia wear off. You may experience some pain or swelling, but this will be carefully managed using medications and other strategies to keep you as comfortable as possible.

  • Hospital stay: Most patients stay in hospital for 1–3 days. During this time, your recovery will begin with supervised movement and physiotherapy to help restore motion and circulation in your knee.
  • Early mobilisation: Getting out of bed and walking with assistance usually begins within 24 hours of surgery. Moving early helps reduce the risk of complications such as blood clots and stiffness.

Pain management after knee replacement

It’s normal to experience some pain or discomfort as your body heals. Dr Paterson will provide you with an individualised pain management plan, which may include:

  • Prescription medications to control pain during the early recovery period
  • Ice packs and leg elevation to reduce swelling
  • Gradual transition to over-the-counter pain relief as healing progresses

Managing your pain effectively is important, especially during physiotherapy sessions, so that you can remain active and participate fully in your rehabilitation.

Physiotherapy plays a crucial role in your recovery. The goal is to improve your knee’s range of motion, rebuild strength in the surrounding muscles, and help you return to daily activities.

  • Range of motion exercises: In the early weeks, exercises will focus on bending and straightening your knee. These may be performed both at home and during supervised physiotherapy sessions.
  • Strengthening exercises: As you improve, your program will expand to include exercises targeting the thigh and leg muscles that support the knee joint.
  • Walking aids: Most patients initially use crutches or a walker, gradually transitioning to walking unaided as balance and strength improve.

Before you leave the hospital, Dr Paterson’s team will provide clear instructions to support your recovery at home.

  • Create a safe environment: Set up a comfortable, accessible space with essential items within easy reach. Remove tripping hazards like rugs or loose cords.
  • Manage swelling: Continue using ice packs and elevating your leg regularly. Keeping swelling under control supports healing and reduces pain.
  • Stay active: While rest is important, so is gentle movement. Short, regular walks around your home help circulation and prevent stiffness.

Recovery from total knee replacement is gradual. Everyone’s healing process is different, but below is a general guide to help you understand what to expect:

  • Weeks 4–6: Many patients begin walking short distances without assistance and return to light daily tasks. Some may feel ready to drive or resume work, depending on progress and job type.
  • Months 3–6: You’ll likely see a significant improvement in strength, mobility, and function. Most patients can enjoy low-impact activities such as walking, swimming, or cycling.
  • At 12 months: Full recovery may take up to a year. By this point, you may have little or no pain and a strong, stable knee that allows you to return to most normal activities.
  • Follow-up appointments: Dr Paterson will schedule regular reviews to monitor your recovery and ensure your knee is healing as expected.
  • Protecting your new joint: To maximise the life of your implant, you’ll be encouraged to avoid high-impact activities such as running or jumping. Instead, focus on low-impact exercise that supports your joint health.
  • Realistic expectations: Knee replacement may significantly reduce your pain and improve your quality of life, but it’s not a quick fix. Active participation in rehabilitation and long-term care is essential for the best outcome.

Dr Darren Paterson and his team will support you through every stage of recovery, helping you understand what to expect, how to manage discomfort, and how to regain strength and confidence in your knee. With Dr Paterson’s support and guidance, you’ll be equipped with the knowledge, tools, and care plan needed to make a confident and steady return to the activities that matter most to you.

What are the risks of total knee replacement surgery?

revision hip replacement consultation

Like any major surgery, total knee replacement carries some potential risks and complications. While many people experience significant improvements in pain and mobility, it’s important to understand what could occur during or after the procedure. Dr Darren Paterson will discuss these risks with you in detail during your consultation and take every precaution to reduce them.

Here are some of the potential risks associated with total knee replacement surgery:

Infection can occur at the incision site or deeper within the joint. Although this is uncommon, it may require antibiotics or, in rare cases, further surgery to treat. To reduce your risk, Dr Paterson operates in accredited hospitals with high standards of infection control, and you’ll be given specific instructions on wound care after surgery.

After surgery, blood clots can sometimes form in the veins of the legs (deep vein thrombosis or DVT). In rare cases, a clot can travel to the lungs, causing a pulmonary embolism. Early mobilisation, compression devices, and blood-thinning medications are used to reduce this risk.

Some patients may experience reduced range of motion or joint stiffness after surgery. This can often be improved with physiotherapy and adherence to your rehabilitation plan. In rare cases, further procedures may be needed to restore movement.

While the goal of surgery is to relieve pain, some individuals may continue to experience discomfort in the knee even after recovery. Pain can result from scar tissue, nerve sensitivity, or other factors that may require further evaluation or management.

Although modern knee implants are designed to last many years, they may eventually wear down or loosen over time. This can cause pain or instability in the knee and may lead to revision surgery in the future. Following your surgeon’s advice on joint protection and activity levels can help extend the life of your implant.

During surgery, nearby nerves or blood vessels can be injured, although this is rare. This may cause numbness, weakness, or other symptoms around the knee. In most cases, these issues improve over time.

Some people may react to materials used in implants, such as metals. If you have a known allergy, be sure to discuss this with Dr Paterson before your procedure so that appropriate implant choices can be made.

As with any surgery, there is a small risk of general medical complications such as heart issues, breathing problems, or reactions to anaesthesia. Your overall health will be carefully assessed before surgery to help minimise these risks.

Although most knee replacements are successful, a small percentage of patients may require a second operation (revision surgery) in the future. This may be due to infection, implant loosening, or wear over time.

Dr Paterson will take the time to assess your medical history, overall health, and individual risk factors before recommending surgery. By understanding the potential complications and following your care plan closely, you can feel more prepared and confident about your decision to undergo total knee replacement.

How much does total knee replacement surgery cost in Australia?

Understanding the costs involved in total knee replacement (TKR) surgery is an important part of planning your care. Whether you have private health insurance or are considering self-funding your surgery, it’s helpful to be informed about what expenses to expect and what support is available to guide you through the process.

If you have private health insurance
Many patients with private health insurance will have a significant portion of their total knee replacement costs covered, including:

  • Surgical fees
  • Hospital accommodation
  • Anaesthetist and assistant fees
  • Prosthetic implant costs
  • Part of your rehabilitation and follow-up care

It’s important, however, to check your individual policy, as coverage can vary widely depending on your provider and level of insurance.

If you do not have private health insurance (self-funding your surgery)
If you’re uninsured and wish to avoid lengthy public waitlists, self-funding your surgery at a private hospital may be a suitable option. This allows you to access timely care and receive comprehensive, coordinated treatment under Dr Paterson’s guidance.

Estimated cost range: Self-funded total knee replacement surgery typically costs between $20,000 and $30,000, depending on the hospital, your clinical needs, and the duration of your stay.

This estimated fee generally includes:

  • Surgical fees for Dr Paterson, the anaesthetist, and surgical assistant
  • Hospital accommodation (typically one night, with extra nights from ~$900 per night)
  • Prosthesis and surgical materials
  • Operating theatre and facility fees
  • Post-operative care, including two follow-up consultations with Dr Paterson
  • All surgical technology used, including robotics, patient-specific instrumentation (PSI), and other advanced techniques, at no additional charge

Additional expenses may include:

  • Pre-operative assessments or imaging (X-rays, CT, or MRI scans)
  • Walking aids (such as crutches or a walker)
  • Post-surgical physiotherapy
  • Medications not covered under the Pharmaceutical Benefits Scheme (PBS)

If you have questions or need guidance, please contact the rooms for assistance tailored to your individual situation.